Accès Pro
Adresse Email
Mot de passe
S'inscrire  I  Mot de passe oublié ?
   
Aggrandir la taille du texte Réduire la taille du texte Imprimer 
Vidéos
Atlas
 

Dernières actualités commentées

Les derniers articles commentés par nos experts sont en ligne !
Lire la suite


Zoom sur...

Communiqué AFSSAPS sur les interactions médicamenteuses de la colchicine Lire la suite


Brochure

Découvrez et téléchargez nos brochures, à remettre à vos patients pour leur apporter des conseils hygiéno-diététiques Lire la suite


 

Ce site respecte les principes de la charte HONcode de HON

Ce site respecte les principes de la charte HONcode.
Vérifiez ici.

crisedegoutte.fr est le premier site français entièrement consacré aux arthropathies microcristallines. Vous trouverez une large sélection d'articles sur la goutte et les autres arthropathies microcristallines commentés par le comité scientifique Cristal, une banque d'iconographies et des interviews d'experts.
 
Pour en savoir plus
 

Avis d’expert Epaule Milwaukee
Epidémiologie Hémochromatose
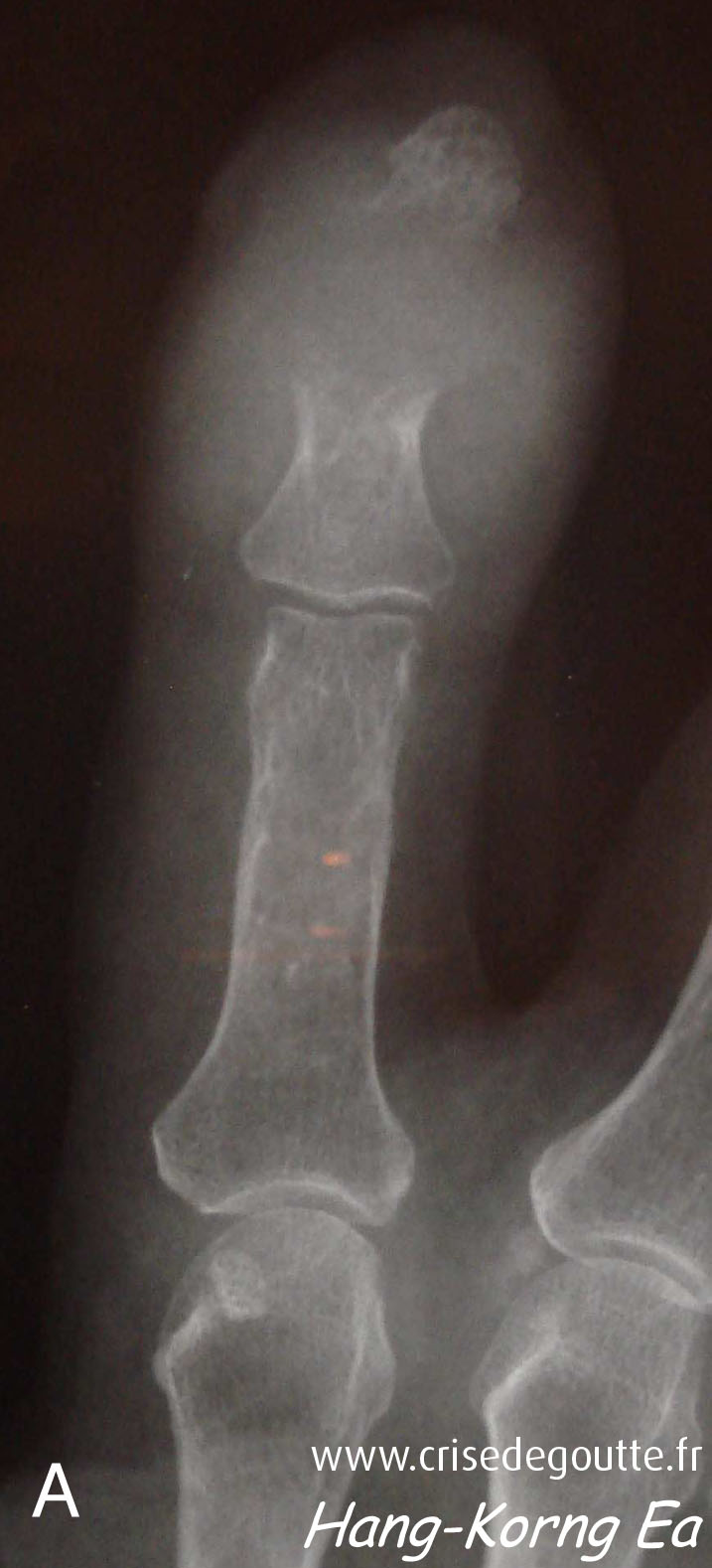
Imagerie
Physiopathologie
PPCD
Tophus